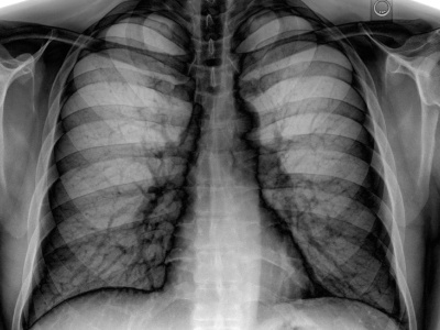
Czy można przeprowadzić badanie, które pozwoli zajrzeć głęboko w ludzkie ciało z nieosiągalną dotąd precyzją? Autorzy ostatnich postępów w tej materii twierdzą, że to możliwe – i to bez większych komplikacji, co oznacza, iż można byłoby prowadzić takie działania na masową skalę. Naukowcom udało się...
źródło: https://www.focus.pl/artykul/perowskitowa-kamera-obrazowanie-ludzkie-cialo
dodano: 2025-09-25 08:51:17
Inne znaleziska:
Najlżejsza kamera Insta360. Pozwala na wiele
tabletowo.pl
Kamera Insta360 X4 Air przedstawiana jest jako lekkie i proste w obsłudze, a przy tym funkcjonalne i oferujące wysoką jakość urządzenie.Przeczytaj pełny artykuł tutaj: Najlżejsza kamera Insta360. Pozwala na wiele
tabletowo.pl, 2025-10-29 09:10:21
2025-10-29 09:10:21
Halloweenowa atmosfera w Hair Room. Warto zajrzeć tam z dziećmi!
moje-gniezno.pl
W gnieźnieńskim Salonie Fryzjerskim Hair Room zagościł już prawdziwie halloweenowy klimat. Wnętrze zdobią barwne dekoracje, pajęczyny, dynie i upiorne detale, które przyciągają wzrok – szczególnie najmłodszych klientów. Właśnie dlatego to idealne mie...
moje-gniezno.pl, 2025-10-29 11:01:19
2025-10-29 11:01:19
“Wstawaj, trzeba do krowy zajrzeć.” To przeszłość, teraz aplikacja poinformuje cię, kiedy cieli się krowa
wrp.pl
“Stary, wstawaj, trzeba do krowy zajrzeć”. To zdanie spędzało sen z powiek hodowcom bydła niezliczoną ilość razy. Często pada kilka razy w nocy, doprowadzając rolników do pasji. Teraz może się to wreszcie zmienić, bowiem jedna z japońskich firm oprac...
wrp.pl, 2025-10-29 13:40:15
2025-10-29 13:40:15
Co było przed Wielkim Wybuchem? Naukowcy chcą zajrzeć dalej
tech.wp.pl
Zespół badaczy powiązany z Foundational Questions Institute chce podjąć się czegoś, co dotychczas wydawało się niewykonalne. Badacze chcą skorzystać z metod relatywistyki numerycznej, aby ujrzeć początek wszechświata.
tech.wp.pl, 2025-11-22 18:27:20
2025-11-22 18:27:20
Za Dysonem warto zajrzeć do RTV Euro AGD. Kupimy taniej w promocji
gazeta.pl
Dyson V12 Origin to mocny, ale kompaktowy odkurzacz bezprzewodowy, który daje do 60 minut pracy bez utraty mocy ssania. Korzystając z promocji "50 za 500 zł", kupimy go dziś taniej.
gazeta.pl, 2025-12-13 09:27:12
2025-12-13 09:27:12
Zajrzeć za kurtynę i pomóc innym. Teatr im. Mickiewicza w Częstochowie gra z WOŚP
zycieczestochowy.pl
Artykuł Zajrzeć za kurtynę i pomóc innym. Teatr im. Mickiewicza w Częstochowie gra z WOŚP pochodzi z serwisu Wiadomości Częstochowa - Życie Częstochowy i powiatu.
zycieczestochowy.pl, 2026-01-17 05:03:23
2026-01-17 05:03:23
Wiosenny sweter za 40 zł w Pepco - od razu wzięłam dwa kolory. Warto zajrzeć też do Lidla
g.pl
W Pepco pojawił się sweter, obok którego aż ciężko przejść obojętnie. Ja skusiłam się na dwa kolory, ponieważ nie mogłam się zdecydować. Obydwa są przepiękne i idealnie wpasowują się w wiosenne trendy. Lidl też ma prawdziwe cudeńka.
g.pl, 2026-03-02 07:29:10
2026-03-02 07:29:10
Zajrzeć pod sukienkę algorytmem
crn.pl
Ponad dekadę temu Jarosław Kaczyński z niechęcią wyrażał się o głosowaniu przez internet, twierdząc przy tym, że wielu jego użytkowników spędza czas na piciu piwa i oglądaniu pornografii. Wówczas uznano tę opinię za przejaw niechęci do technologii, c...
crn.pl, 2026-03-02 08:44:26
2026-03-02 08:44:26
Policjanci lubią zajrzeć do auta i zadać jedno pytanie. Zła odpowiedź to 3000 zł
interia.pl
Zazwyczaj policyjne kontrole ograniczają się do sprawdzenia dokumentów prowadzącego, pojazdu oraz weryfikacji trzeźwości kierowcy. Faktyczne uprawnienia policji są jednak znacznie szersze, a funkcjonariusze mogą także zadać kierowcy kilka podchwytliw...
interia.pl, 2026-03-24 22:31:10
2026-03-24 22:31:10
Luka w zabezpieczeniach Gemini pozwala ukryć złośliwe instrukcje w wiadomości e-mail
feedburner.com
Jeżeli byliście na szkoleniu Narzędziownik AI od Tomka Turby, to wiecie jak relatywnie łatwo jest przeprowadzić atak wstrzyknięcia złośliwego promptu (ang. prompt injection), np. na model LLM – ChatGPT. Jeżeli mamy taką możliwość podczas intera...
feedburner.com, 2025-07-18 13:23:03
2025-07-18 13:23:03